















For this implant case, we placed three solid implants and secured them with cover screws, allowing our patient to leave with an immediate partial — walking out the door already smiling! This immediate partial serves as a temporary solution, letting our patient go about their day-to-day activities comfortably while the implants heal and integrate.

Veneers
A custom veneer treatment enhanced the shape, color, and symmetry of the smile for a naturally polished result.

Extraction Plus Crowns and Bridge
After removing compromised teeth, crowns and a custom bridge restored function, stability, and a confident smile.
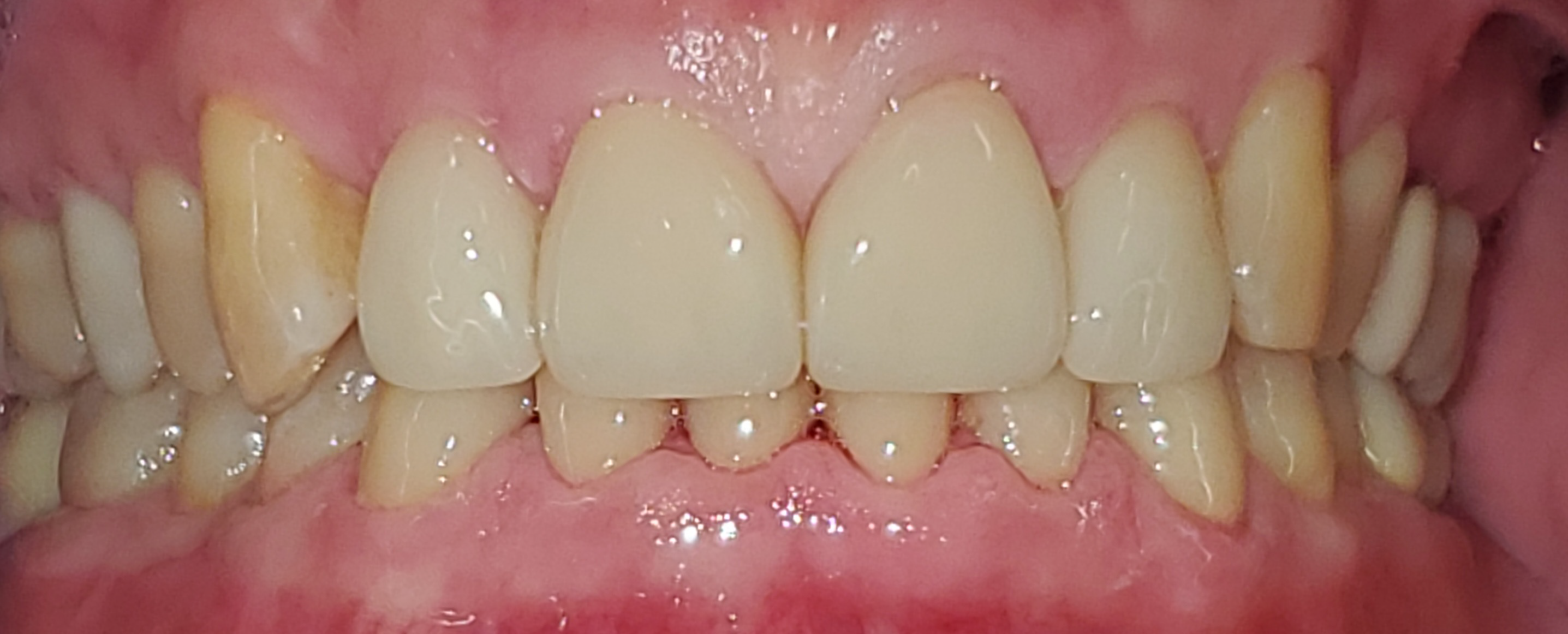
Single Incisor Designed to Match Neighboring Teeth
A carefully crafted incisor restoration was designed to seamlessly blend with the surrounding natural teeth.
Old Upper Bridge Replaced Due to Decay
An aging upper bridge affected by decay was replaced with a new, natural-looking bridge that preserved the patient’s original smile appearance.